Weblication® CMS


 
 

Fingerfraktur

1. Erkrankung/Verletzung des Patienten/der Patientin

 

Fingerfraktur

  

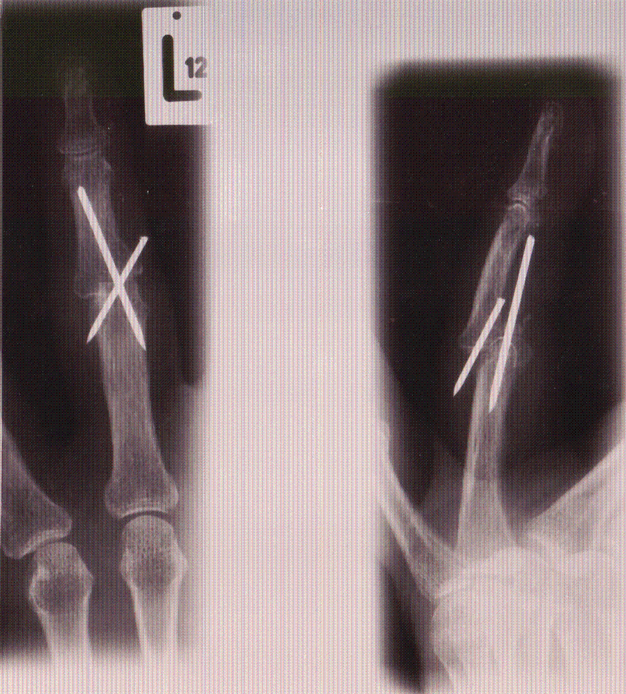
Bild100

                         

Die Unfallröntgenaufnahme zeigt eine Mittelgliedbasisfraktur des 4. Finger links mit Luxation des Hauptfragmentes und seiner Gelenkfläche nach dorsal

 

2. Behandlung des Patienten/der Patientin

 

Operation - offene Reposition und 2-fach gekreuzte K-Drahtung

   

 3.  Behadlungsfehler

    

Die operative Versorgung entsprach nicht den anerkannten Standards der Unfallchirurgie. Die Fraktur und die Luxation im Gelenk wurden nicht beseitigt, die Fragmente nicht exakt fixiert, es wurde auch keine suffiziente temporäre Arthrodese (operative Gelenkversteifung) ausgeführt. Die Kirschnerdrähte waren deutlich überstehend und konnten deshalb zu Reizungen im umliegenden Gewebe und  zur Fast-Perforation der Haut führen.


Bild110

Die postoperative Röntgenaufnahme zeigt gegenüber der Unfallröntgenaufnahme eine unverändert schlechte Stellung im Bereich der Luxationsfraktur.

 

Folge der fehlerhaften Behandlung waren ein deutlich verlängerter Behandlungsverlauf und die Notwendigkeit einer Gelenkversteifungs-Operation. Bei exakter und korrekter und auch zeitnaher Operation wäre eine Ausheilung mit guter Handfunktion möglich gewesen.

 

Kontakt


Rechtsanwalt und Arzt
Dr. med. Ulf Medicke

Stephanienstr. 18
76133 Karlsruhe


Tel.: 0721 / 9 33 82 80
Fax: 0721 / 9 33 82 88 8
Email: mail@anwaltundarzt.de


Wir rufen Sie zurück!

 
 
Rechtsanwalt und Arzt - Dr. med. Ulf Medicke    Stephanienstraße 18    76133 Karlsruhe   Tel: 0721 / 9 33 82 80   Email: mail@anwaltundarzt.de
Impressum Datenschutz